Case 45: clinical

Go to lab case >

CHIEF COMPLAINT:
The patient had a ceramic metal crown on tooth 1.4 which "fell", and would like "a fixed tooth".

DIAGNOSIS:
46-year-old female patient, non-smoker. Root of tooth 1.4 was present in the mouth after avulsion of a metal-ceramic crown. The root was softened with a longitudinal fracture. Imaging showed a root with endodontic treatment and confirmed the longitudinal fracture. The root under these conditions indicated extraction. Teeth 1.3 and 1.5 were vital but with infiltrated composite resin restorations. The patient had good oral hygiene.

TREATMENT PLAN:
Patient was proposed extraction of the root of the 1.4 tooth, and immediate placement of an implant in its place. Confirmation of this rehabilitation proposal would always be dependent on prior accomplishment of a Computed Axial Tomography, in order to evaluate the available bone heritage. Provisionalization of the edentulous space would be done with a temporary fixed prosthesis bonded to adjacent teeth. This prosthesis would be prepared at the laboratory and would consist of an acrylic prosthetic tooth with an included metal wire that would serve as a retention element. In this way the esthetic problem was solved during osseointegration, avoiding the use of a removable prosthesis. The implant would eventually be rehabilitated with a screwed metal-ceramic crown.

TREATMENT NOTES:
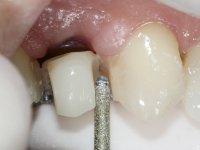
A CT scan was performed to evaluate the available bone heritage and to choose the type and size of implant to be placed. An impression of both jaws was made in alginate, as well as intermaxillary recording for laboratory work on a provisional prosthesis. The provisional prosthesis was made by including a metal wire in a prosthetic tooth adapted to the edentulous space. The root was carefully removed and the implant was placed in the tooth socket corresponding to tooth 1.4. The remaining space between the walls of the alveolus and the implant was filled with regenerative material and then sutured. The prosthesis was previously adapted to the postoperative zone and was then bonded to adjacent teeth. Teflon was used to promote the best possible insulation. Bonding was done using photopolymerizable composite resin using the palatine and inter-proximal walls of the adjacent teeth. After 10 days, the suture was removed and one month later osseointegration was confirmed. Exposure of the implant and placement of the healing screw was performed after 10 weeks. The cervical portion of the provisional tooth had to be reduced to accommodate the healing screw. Stabilized peri-implant soft tissues were impressed using open tray technique with soft and regular consistency putty silicon. In the laboratory the work model was made, along with the choice of pre-fabricated components for the confection of a metal-ceramic crown screwed to the implant with the brand’s interface. Removal of the provisional bridge was done with great care not to touch the interproximal surfaces of the teeth adjacent to the edentulous space. The crown was screwed to the implant, and after imaging, the seating was given the final tightening with 35N of torque. The screw access hole was filled with Teflon and closed with composite resin. The patient manifested satisfaction with the aesthetic and functional rehabilitation achieved.