case 46: clinical

Go to lab case >

CHIEF COMPLAINT:
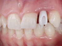
The patient wanted to "put the tooth in the implant". After orthodontic treatment and placement of an implant at the site of tooth 2.2, the patient was referred to rehabilitation of the placed implant.

DIAGNOSIS:
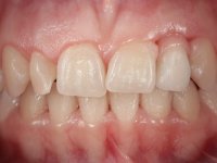
Female patient, 24 years of age, non-smoker. The clinical situation resulted from an orthodontic treatment performed with the intention of resolving a problem of unilateral agenesis of the left lateral incisor. After orthodontic correction, an implant was placed at the site of tooth 2.2. During the period of osseointegration the patient used a removable orthodontic appliance with a prosthetic tooth. Upon assessment of the situation, I registered the following aesthetic conditions:

1. The cervical level of the teeth 1.3.1.2 and 1.1 are at a more incisal level than the teeth 2.1 and 2.3.
2. The distal papillae of 2.1 and mesial of 2.3 disappeared.
3. Slight radicular exposure in distal 2.1 and mesial 2.3.
4. The edentulous space corresponding to the high and narrow 2.2.
5. Tooth 1.2 with microdontia and rolled.

The patient has a reasonable oral hygiene.


TREATMENT PLAN:
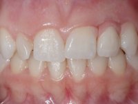
Before the treatment plan was elaborated, the patient was made aware of the inherent technical difficulty in aesthetical rehabilitation of the implant. After a long exchange of opinions with the dental technician, an unconventional treatment plan was presented, whose purpose was to minimize the aesthetic asymmetry between the left and right sides and between the cervical and incisal levels. The solution comprehended the realization of two veneers in composite resin of gingival tonality, to rehabilitate the interdental papillae of the edentulous space. A screwed abutment in Zr. with coronary and gingival component was planned for placement over the implant. As the implant angulation would put access to the screw on the vestibular face, confection of a feldspathic veneer was proposed, to be bonded to the abutment in order to camouflage the screw access hole. In tooth 1.2 a feldspathic veneer would be bonded, to correct microdontia and the small rotation.

TREATMENT NOTES:
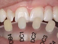
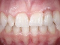
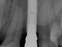
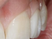
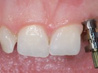
An impression was made on the implant with open tray technique using soft and regular consistency putty. At the laboratory, after confection of the work model, a diagnostic waxing was performed, which sought to find an aesthetic compromise solution. In this sense, a temporary workpiece screwed onto the implant was used to simulate the difficulties we would have with screwing the definitive work. This study abutment consisted of wax to reproduce soft and hard tissues, seeking to anticipate the use of ceramics of gingival and coronary shade. Also, part of the interproximal papillae corresponding to the distal portion of the 2.1 tooth and the mesial tooth of the tooth 2.3 were also waxed, anticipating the use of composite resin “chips” with gingival tonality. Finally, a veneer was waxed to correct the microdontia of the tooth 1.2. In this waxing, the vestibular emergence of the orifice for access to the screw of the implant abutment was evident. Once this therapeutic option was accepted, the implant abutment in polymerized composite resin was prepared at the lab, as well as the papillary "chips", also in composite resin of gingival tonality. Tested in the mouth, the abutment was screwed and the "chips" bonded. The access hole of the screw was filled with composite resin. In subsequent consultation, a gingivectomy was performed on the cervical contour of teeth 1.3, 1.2 and 1.1 with the aim of correcting the asymmetry between the first and second quadrant. After the soft tissues were cicatrized, a dental bleaching was performed according to the patient’s aesthetic requirements. Final impression on the implant was made using the silicone open tray technique, taking care to individualize the transfer piece by copying the emergence profile of the patient’s provisional abutment. At the laboratory, the impression yielded a definitive working model, on which the abutment was waxed on a plastic insert. This process was carried out with the orientation of a wall of silicone based on diagnostic waxing. The wax made on the plastic part was placed in a special holder that allowed its scanning in a laboratory scanner. This scan by CAD process informed the design of an abutment in Zr. later materialized by a CAM process. The Zr. abutment was tested in the mouth, validating its clinical and imaging establishment. During this consultation, the choice of color was made by the ceramist, of both the coronary ceramics and the ceramic of gingival tonality to be used. Individualized color scales were used. At the laboratory, the coronary and gingival ceramics were placed on the implant abutment and later, on a working model with refractory gypsum, a veneer of feldspathic ceramic was made. This veneer was built on a surface specially designed for this purpose in the abutment. This surface tried to reproduce a dental preparation performed for the same effect. In the mouth the abutment was screwed with a torque of 35N, the access hole to the screw was filled with Teflon and later filled with composite resin. The veneer was bonded onto the implant abutment using the conventional bonding technique, with relative insulation. For economic reasons, the patient did not proceed to perform the veneer on tooth 1.2. Although a limited aesthetic compromise was expected from the outset, a result was achieved which satisfied the patient.

PUBLICATION:
The papillary veneers concept: an option for solving compromised dental situations
Couto Viana P.
Correia A.
Kovacs A.
J Am Dent Assoc 2012; 143(12): 1313-1361