Case 48: clinical

Go to lab case >

CHIEF COMPLAINT:
The patient complained that she had a front tooth shaking, did not like the "dark canine" and also "wanted to close the spaces between the teeth”. After 8 years of initial treatment, what motivated a second treatment phase was that the "two front teeth are ugly."
One year after the last intervention, a third reason appeared for the third phase of treatment: a fracture on the feldspathic veneer placed on tooth 2.1.

DIAGNOSIS:
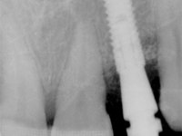
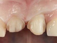
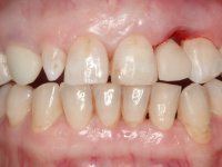
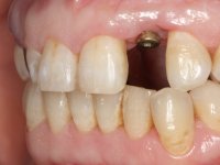
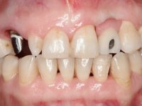
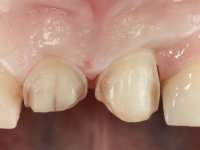
Female patient, 47 years old non-smoker. Tooth 1.3 with endodontic treatment and a cast post and core, rehabilitated with a provisional crown. The two upper lateral incisors are conoid and of small dimension. Tooth 2.2 presents mobility, in agreement with a significant bone reabsorption between teeth 2.1 and 2.3. The two central incisors are separated by a 3 mm diastema and tooth 2.3 presents a crossed occlusion with the opposing tooth. There is also an absence of some posterior teeth and reasonable oral hygiene. In the second intervention performed 8 years later, it was verified that the upper central incisors were chromatically darker and had a longitudinal groove in the enamel which, being pigmented, aesthetically compromised the smile. The work performed in the first phase of the treatment was competent, aesthetically and functionally. Finally, one year after the last intervention, the patient complained of a fracture on the veneer placed on tooth 2.1, probably as a result of being in contact with the abutment of the implant. The rigidity of implant ankylosis may have been the cause of this fracture. I have observed other instances of this type of fracture in identical clinical situations. The veneer of tooth 1.2 was aesthetically compromised and the dental structure itself had small caries and, therefore, its replacement would be recommended.

TREATMENT PLAN:
After clinical and imagological evaluation, the following treatment was proposed to the patient:
• Rehabilitation of the cast post and core with a crown with ceramic-coated Zr infrastructure.
• Orthodontic treatment to close diastema between maxillary central incisor teeth and slow tooth traction 2.2.
• Placement of an implant at the tooth site 2.2. Rehabilitation of the implant with a coronary and gingival component abutment. in which the screw access hole was "camouflaged" with a feldspathic veneer.
• Rehabilitation of conoid tooth 1.2 with a feldspathic veneer.

Eight years later, in the second intervention, the following treatment was proposed:
• Restoration of teeth Superior Central Incisors with feldspathic ceramic veneers.

One year later, in the third intervention, the following treatment was proposed:
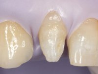
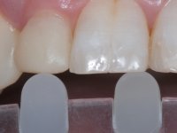
• Confection and bonding of a new feldspathic veneer to replace the fractured one. The new veneer should include a greater distal inter-proximal dental area from tooth 2.1.
• Replace tooth 1.2 veneer with a total crown in feldspathic ceramics, or by a now called 360 veneer.

TREATMENT NOTES:
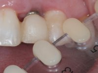
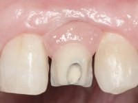
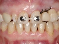
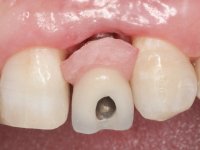
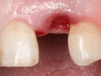
Treatment began with re-preparation of the cast post and core, with the purpose of placing the cervical finishing lines with an intra-sulcular location and simultaneously making a suitable temporary crown. With a very simple orthodontic treatment, the diastema was closed between the upper central incisors, and this position was stabilized with a wire placed on the palatal surface of the central, functioning as containment. Later, a slow orthodontic traction of tooth 2.2 was attempted, in order to reduce, although very slightly, the vertical bone loss in this area. At the end of the traction, tooth 2.2 was extracted and the area was provisionally rehabilitated with a composite resin crown bonded to the adjacent teeth. A dental implant was placed in the area of tooth 2.2 and the temporary crown was again bonded to resin, provisionally rehabilitating the patient during osseointegration. In tooth 1.3 a gingivectomy with an electric scalpel was performed, with the intention of raising the cervical level of 1.3 achieving greater harmony with tooth 2.3. Stabilized soft tissues were impressed using the open tray technique with putty and light addition silicones. Collection of the color of both the dental component and soft tissues was done by the ceramist in the office. In the laboratory, the impressions were transferred to plaster and gave origin to work models that were properly analyzed. It was decided to assemble a metal-ceramic abutment screwed onto the implant. This abutment was cast with a noble alloy and subsequently coated with coronary and gingival ceramics. Due to the inclination of the implant, the screwing inevitably conditioned the exit of the screw hole through the vestibular surface. In order to conceal this situation, the design of the abutment has already been conceived with the intention of accommodating on the vestibular surface the bonding of a feldspathic veneer. This abutment was tested in the mouth and adjustments were made in the gingival ceramic component. Its adaptation to the soft tissues was done in a subtractive way, with a drill, as well as additive, adding resin composed of gingival tonality.
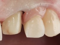
This addition of resin would guide the ceramist in the final placement of the gingival tonality ceramic. The crown that would rehabilitate tooth 1.3 was cemented in this test session with glass ionomer cement, reinforced with composite resin. Once the laboratory work was finished on the veneer for tooth 1.2, the abutment, and the veneer for the implant, this was bonded in the mouth, after placement of the absolute insulation. The work completely satisfied the patient. For eight years, the patient had periodical check-ups, and was pleased with the treatment, but also began to show interest in an aesthetical intervention on the upper central incisors. Once the second phase of our intervention was decided, dental preparation of teeth 1.1 and 2.1 was performed for the placement of two feldspathic veneers. Particular care was taken in the distal inter-proximal preparation adjacent to the abutment of the implant.
The axis of insertion of the veneer in relation to the abutment was very carefully evaluated. The feldspathic veneers were prepared in the laboratory and then bonded to the mouth after placing absolute insulation. One year later, we began our third phase of treatment, after the veneer in tooth 2.1 fractured. A dental preparation was done on the bonded veneer, seeking to extend the distal inter-proximal interface more to the palate. The objective would be to move the veneer to a more palatine contact point. Preparation of tooth 1.2 was limited to creating an insertion axis. After preparation, the total crown and laboratory veneer were bonded to the mouth. First, the crown was bonded using a relative insulation with Teflon, later the veneer was bonded after the absolute insulation placement. In the crown, I used this type of insulation to avoid the use of staples. It would be difficult to apply due to the shape and size of the tooth, and would also be aggressive to the soft tissues. After bonding procedures, the occlusal integration of the work was evaluated.