Case 52: clinical

Go to lab case >

CHIEF COMPLAINT:
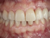
The patient came to the consultation with pain in the right upper lateral incisor accompanied by vestibular swelling. She referred that he had already had the "swollen area for several weeks, but the acute pain had appeared a few days ago". The patient also showed displeasure with the aesthetic appearance of the tooth.

DIAGNOSIS:
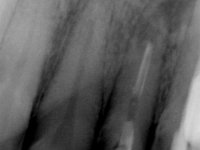
Female patient, 47 years old, non-smoker. He had vestibular swelling in the area of ​​tooth 2.2, painful percussion in the tooth and a noticeable darkening of the dental crown. After the imaging exam, a root resorption was identified with peri-apical lesion. Teeth 2.3 and 2.4 had endodontic treatment. In occlusal terms, there was a strong prematurity of tooth 2.2 with tooth 3.3 in line with an extrusion of teeth 3.3,3.4 and 3.5 in relation to the occlusal plane. The patient has a thick gingival phenotype and good oral hygiene. Has habits for marked functional, daytime and nighttime bruxism.

TREATMENT PLAN:
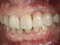
Extraction of tooth 2.2 and reinforcement of tooth 2.4 were proposed, with an intra-root post for subsequent rehabilitation with a 3-element bridge. The bridge would have teeth 2.3 and 2.4 as pillars and 2.2 as a pontic. The bridge would have gingival ceramic in the cervical and inter-proximal zones of 2.2 to compensate  the tissue reabsorption resulting from the extraction. The purpose of this rehabilitation was to avoid placing an implant at the 2.2 site. This space being narrow in mesio-distal terms, it intended to avoid aesthetic complications resulting from the almost inevitable loss of interdental papillae. The patient had undergone this rehabilitation for 8 years, eventually breaking the bridge. Then, the second phase of rehabilitation began, with the proposal of placing an implant in the location of 2.2 and the subsequent placement of a bridge of 3 elements, screwed on the implant and cemented on teeth 2.3 and 2.4. The bridge would also have gingival ceramic in the area of ​​tooth 2.2 for the initial purpose.

TREATMENT NOTES:
First phase.
A temporary 3-element self-curing acrylic laboratory bridge was made with teeth 2.3 and 2.4 as pillars and tooth 2.2 as a pontic. The abutment teeth were prepared, tooth 2.2 was extracted and the provisional bridge was relined in the mouth with self-curing acrylic. After the tissues were completely healed, on the temporary bridge, a composite resin with a gingival resine was placed in order to simulate the final rehabilitation. This model allowed the patient to visualize what was intended, allowing her prior assessment. The patient understood the purpose and was pleased with the solution. The color of the gingival and coronary shades was chosen with appropriate guides. It is advisable to make this choice before collecting the impression to avoid changing the tone of the soft tissues. The impression was done with double mixing technique with double viscosity. In the laboratory on the work model, an infrastructure was built in Zr. This infrastructure was evaluated in the mouth and after approval it was coated with ceramic of gingival and coronary shades. The patient esthetically approved the final work and was definitely cemented with resin-reinforced glass ionomer cement. After 5 years, the bridge descended and was cemented again after replacing the post on tooth 2.4. After 8 years of its placement, the bridge fractured at the level of tooth 2.3. The fragment was bond and planning began to place an implant in the location of tooth 2.2.

Second Phase.
A CT-Scan was carried out to plan the implant placement and simultaneously a 3-element acrylic temporary bridge was made in the laboratory with a gingival component in the cervical area of ​​tooth 2.2. This temporary bridge has included a metallic reinforcement. The fractured bridge was removed and an implant with a diameter of 3.3 mm and a length of 12 mm was placed. The bridge was relined in the mouth with self-curing acrylic. After 3 months, the impression was made using an open tray technique, with two viscosity silicone and fast setting. Gingival clearance of the abutment teeth was done with Kaolin. The choice of the color of the gingival and coronary shades was made with suitable guides. In the laboratory, a bridge with Zr infrastructure was made, screwed over the implant with gingival ceramic in the cervical area of ​​tooth 2.2. After approval by the patient, it was placed in the mouth. The screwing on the implant is done during the hardening time of the glass ionomer cement reinforced with resin. A occlusal guard of nocturnal relaxation was made and properly adjusted.