Case 53: clinical

Go to lab case >

CHIEF COMPLAINT:
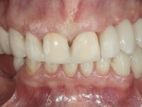
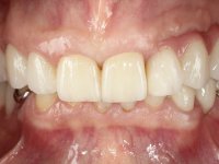
The patient “liked to have beautiful fixed teeth and remove the upper prosthesis”

DIAGNOSIS:
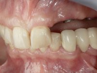
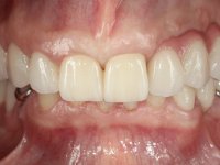
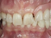
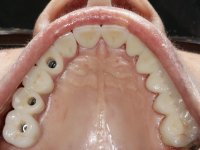
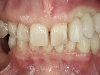
Female patient, 60 years old, non-smoker. In the upper jaw there is a lack of teeth 2.2,2.3,2.4,2.5,2.6 and 2.7. The teeth have very extensive and infiltrated composite resin restorations. All teeth show marked occlusal and palatal wear. The patient wears a  removable upper acrylic removable prosthesis. In the lower jaw there is a lack of teeth 3.6,3.7, 4.5,4.6 and 4.7. Tooth 4.4 presents a poor endodontic treatment and in the third quadrant, it has a 3-element metal-ceramic bridge, such as tooth 3.3 and 3.5 as pillars and tooth 3.4 as a pontic. Tooth 3.5 has a poor endodontic treatment and a placed intra-root post. The lower incisors have restorations with composite resin. The patient does not use any removable prosthesis in the lower jaw. The analysis of orthopantomography, shows some bone heritage in the second quadrant, requiring a CT-Scan for a more accurate assessment for the possible placement of implants. The patient has a medium gingival phenotype and good oral hygiene.

TREATMENT PLAN:
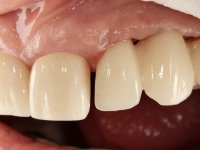
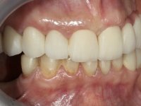
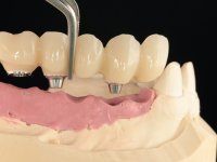
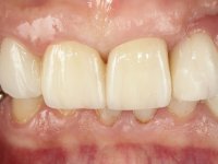
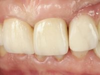
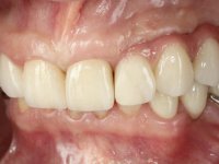
The rehabilitation of the upper jaw was proposed with 12 fixed elements, divided into two distinct blocks. A fixed bridge of 7 elements with teeth 1.6,1.5,1.4,1.3,1.2,1.1 and 2.1 as pillars and another fixed bridge with elements 2.2,2.3,2.4,2.5 and 2.6 implant-supported. This bridge would be screwed over 3 implants placed in the locations of teeth 2.3, 2.5 and 2.6. The patient was also informed of the possibility of having to use a gum shade ceramic on the implant-supported bridge for aesthetic reasons. The remaining teeth would be submitted to an endodontic treatment and later reconstructed with intra-root posts and composite resin with dual polymerization. The implant surgery would be performed with the aid of the guided surgery technique. In the lower jaw, it was proposed to rehabilitate the anterior sector with feldspatic ceramic veneers on teeth 4.3,4.2,4.1,3.1, and 3.2 The replacement of the bridge in the third quadrant by a new bridge with a Zr infrastructure coated with ceramics was proposed. It was proposed to retreat the endodontic treatment of tooth 4.4 and make a full crown. Finally, the toothless area would be rehabilitated with the placement of 2 implants in the locations of teeth 4.6 and 4.7 and an implant in the location of tooth 3.6. Subsequently the prosthetic rehabilitation of the implants would be with a screwed bridge of 2 elements in 4.6 and 4.7 and a crown screwed in the implant placed in 3.6.

TREATMENT NOTES:
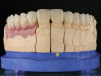
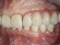
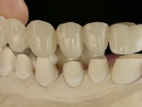
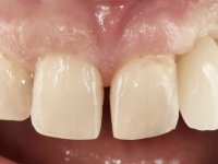
Front and profile photos were taken of the patient and the intermaxillary relationship with the facial bow was collected. Silicone impressions were made for making the study models. These models correctly mounted on a semi-adjustable articulator were analyzed together with the prosthetic technician. After a joint decision on the therapeutic option, the diagnosis was made. A temporary 3-element acrylic bridge was made in the third quadrant and the antero-inferior sector was also waxed. On top of that waxing, a key and silicone with an occlusal opening were made to control the settlement. This silicone key was loaded with fluid composite resin and after the vaselinatation of teeth it was seated in the mouth. After the polymerization of the resin, the excesses were removed making a mock-up on the mouth based on the diagnostic waxing. The patient, with the mock-up placed in her mouth, can visualize our treatment proposal in a concrete way, being able to anticipate the final work. The proposal was approved. In that same consultation, the patient with the mock-up in her mouth went to do a CT-Scan. CT-Scan was introduced in a virtual planning program in which the placement of 3 implants in the second quadrant, in the locations of teeth 2.2,2,5 and 2.6, were planned. This planning gave rise to the preparation of a surgical guide. The surgical guide was tested in the mouth, checking that it was correctly seated. On the day of the implant surgery, guided surgery was performed with the aid of the surgical guide, placing the implants as planned. The removable acrylic prosthesis was reliened in the mouth with a tissue conditioner. Two weeks later, the antero-inferior sector was remodeled with composite resins, using a translucent silicone key made on the diagnostic wax-up. After correct dental preparation, resins were placed. In that same consultation, the third quadrant bridge was replaced by the new provisional bridge, and the lower jaw was provisionally corrected in this consultation according to the diagnostic wax-up. One month later the endodontic treatment of teeth was performed 1.6,1.5,1.4,1.3,1.2,1.1 and 2.1. In the following week, intra-root posts were placed and rebuilt with composite resins with dual polymerization. In this consultation, the surgical guide was used to locate the implants and perform the second surgical phase with the placement of healing screws. Two weeks later, an impression of the upper jaw was made on the implants and on the restored teeth for the construction of a provisional bridge of 7 elements over the teeth and another of 5 elements screwed to the 3 implants. Temporary bridges were made in the laboratory after the diagnosis was completed. A silicone key was also made to allow the temporary bridge to be repositioned over the teeth during relining. The teeth were prepared and the bridge was relined with self-curing acrylic. Two months later, the final impression was made using the open tray technique. The gingival clearance in the impression of the prepared teeth was made with kaolin. In the laboratory, working models were prepared and using a CAD-CAM technique, 2 infrastructures were made in Zr, based on the diagnostic wax-up. An infrastructure for a 7-element bridge and another 5-element infrastructure for screwing the implants. The infrastructures in Zr were tested in the mouth and subsequently were ceramic coated. The final work, after being approved by the patient, was cemented on the teeth with glass ionomer cement reinforced with resin and screwed on the implants. The third quadrant bridge was also cemented. For unexpected reasons, the patient did not proceed with the treatment initially recommended, and the lower jaw was rehabilitated with a removable skeletal prosthesis. Two years after the placement of the work, the patient again went to the clinic to close a diastema that she urged between the fixed bridge over the teeth and the bridge over the implants, in the transition between teeth 2.1 and 2.2. The screw-retained bridge over the implants was removed and the temporary bridge that the patient had already used was placed. In 24 hours, low fusion ceramics were added to the mesial surface of tooth 2.2, closing the diastema.

COLLABORATION:
The endodontic treatments were performed by Dr. Marco Paquete. The planning of the guided surgery was done in conjunction with Dr. Ivo Teixeira Lopes. The surgical guide was planned by Dr. Pedro Macedo.