Case 54: clinical

Go to lab case >

CHIEF COMPLAINT:
The patient did not like the appearance of the anterior sector. I wasn't satisfied with the old crowns that rehabilitated the upper central incisors. I would also like two implants that had been placed in the fourth quadrant to be rehabilitated. The patient also wanted to place “a fixed tooth” in the location of the 2.5 that had been extracted.

DIAGNOSIS:
Female patient, 56 years old, non-smoker. Teeth 1.1 and 2.1 had endodontic treatment and fused false stump posts. The metal-ceramic crowns that rehabilitated them had exposed and infiltrated cervical margins. He had an implant placed in the 1.2 tooth site with a cemented crown. In the 4th quadrant, two implants were placed in the location of teeth 4.6 and 4.7, with the healing screws already placed. In the 2nd quadrant, teeth 2.4 and 2.6 had endodontic treatment and teeth 2.6 had an infiltrated metal-ceramic crown. The periodontium was generally healthy, with the exception of the marginal gingiva near the infiltrated crowns. Good oral hygiene.

TREATMENT PLAN:
For the implants placed in the 4th quadrant, rehabilitation was proposed with a screwed 2-element bridge. In the previous sector, the replacement of the crowns over the centrals was proposed, as well as the replacement of the crown over the implant. In the 2nd quadrant, we chose to build a 3-element bridge with teeth 2.6 and 2.4 as pillars and tooth 2.5 as pontic. This option prevailed over placing an implant in the 2.5 site because teeth 2.4 and 2.6 were endodontically treated and were not aesthetically satisfactory.

TREATMENT NOTES:
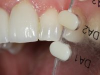
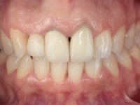
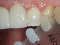
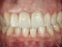
We decided to start with the rehabilitation of the 4th quadrant implants, making an impression using the open tray technique, with silicone of two viscosity and fast setting. In the laboratory, a screwed bridge over implants was made. After verifying the correct fit in the mouth, it was definitively tightened in the mouth and the access holes filled. When replacing the crowns of the central incisors, we started by making a pre-print in silicone to make a temporary bridge. Then the old crowns were cut with a turbine and removed, the dental abutments were re-prepared and the cervical finishing lines were placed at the intrasulcular level. Then, the impression was made with a technique of double mixing with two viscosities. In the laboratory, two crowns with Zr infrastructure and covered with ceramic were made. After checking in the mouth and approved by the patient, they were cemented with resin-reinforced glass ionomer cement. We waited two months for the gingival architecture of the anterior sector to stabilize and then the replacement of the crown over the implant was started. Being a cemented crown, it was first cut with a turbine and then removed. The abutment was unscrewed from the implant and an impression was made using the open tray technique. A screw-retained crown was made in the laboratory with the use of a dynamic screw, which allowed to circumvent the inclination of the implant. After approval by the patient, the crown was definitively tightened to the implant and the access hole filled. Finally, the construction of the bridge in the 2nd quadrant began with the preparation of a pre-print for the construction of a temporary bridge. The crown of the 2.6 has been removed and the abutment re-prepared simultaneously with the preparation of the tooth 2.4. Then, the impression was made with the technique of double mixing with double viscosity. In the laboratory, a 3-element bridge with a Zr infrastructure covered with ceramic was made. After verification and approval, it was cemented with resin-reinforced glass ionomer cement. In the end, the patient was pleased with the rehabilitation performed.