Case 59: lab

Go to clinical case >

CHIEF COMPLAINT:
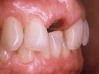
The patient came to the consultation because she placed an implant in the tooth 1.1 site but colleagues had difficulty prosthetically rehabilitating the implant. The prosthetic options available at the time proved to be difficult to carry out. In this sense, the patient was referred for my consultation.

DIAGNOSIS:
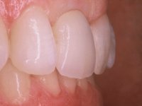
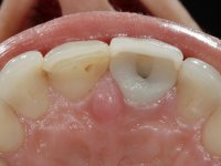
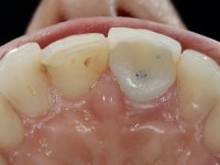
52-year-old female patient, non-smoker. He used an appointment with an implant already placed in the 1.1 site. It was provisionally rehabilitated with a composite resin crown adhered to the palatal surface of the adjacent teeth. This provisional had taken off several times in the last month, even in this first consultation it was taken off. We took advantage of this situation and verified that the “Tissue Level” implant had 2 to 3 mm of prosthetic space available. A deep bite and the inclination of the long axis of the implant posed a very difficult situation for the rehabilitator. If one chooses a abutment with a cemented crown, the height of the abutment would be minimal, with no retention or resistance. If a screwed solution is chosen, the screw access hole would emerge through the vestibular surface. It should be remembered that in 2006 the prosthetic solutions for this situation were limited to these options: 1- Screw-retained angled metal abutment for cemented crown 2 - Screw-retained angled metal abutment for transversally screw-retained crown 3 – Syn Octa metal abutment for screw-retained crown. A serious problem in this rehabilitation was guessed right from the start. The patient had a thick gingival phenotype and good oral hygiene.

TREATMENT PLAN:
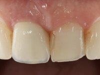
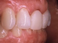
After performing an impression of the implant and making the models, we tested several rehabilitative options with the help of the implant brand planning kit. None proved capable. In this sense and as a resource solution, an innovative solution was proposed. It was proposed to make a milled Zr abutment with an appropriate design to receive a veneer that would hide the screw access hole. The veneer itself had a ceramic-coated Zr infrastructure. The goal was to achieve retention and strength by screwing the abutment and aesthetically solve the case with the veneer.

TREATMENT NOTES:
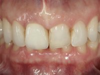
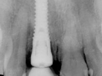
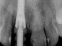
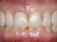
After the impression of the implant using a double-mix technique with double viscosity and the collection of shape and color information by the ceramist, we proceed with the work. In the model, a syn octa was placed over the implant, and a screw was placed on it to assess its emergence in relation to the incisal edge. Then, an adequate emergence profile in the artificial gingiva was prepared. A abutment with characteristics suitable for overbite and simultaneously capable of receiving a veneer was waxed on top of this scenario. This waxing gave rise to the manual milling of a very personalized abutment. An infrastructure in Zr was also made for the veneer with a very great adaptation to the abutment. On this infrastructure ceramics were placed. Ceramic fluorescence sought to compensate for the lack of fluorescence that Zr had and obviously further customize the aesthetics. The adhesive bridge was removed and the definitive work was placed. The syn octa was initially tightened with 35 N to the implant and then the Zr abutment was tightened over the syn octa with 15 N. The access hole was plugged and then the veneer was cemented with resin-reinforced glass ionomer. After 15 years, the patient returned to the consultation with tooth mobility. Fortunately, nowadays we have the possibility of having dynamic tightening wrenches that allow tightening screws with greater inclinations. An access cavity was made without damaging the incisal edge of the veneer. Tightening was done with a dynamic wrench with 15 N torque. The hole was covered with Teflon and filled with composite resin. This solution allowed the problem to be solved in a simple and economical way.