Caso 8: laboratório

Ver caso clínico >

MOTIVO DA CONSULTA:
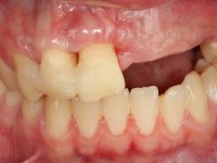
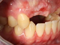
Reabilitação fixa do sector antero-superior após traumatismo resultante de acidente de viação.


DIAGNÓSTICO:
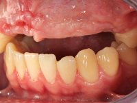
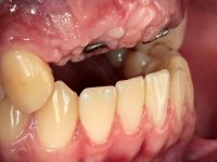
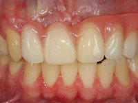
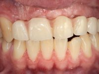
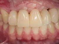
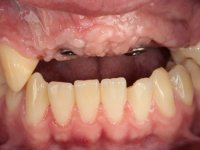
Paciente do sexo masculino, com 22 anos de idade e não fumador. Apresentou-se na consulta 6 meses após um acidente de viação em que perdeu os dentes 21, 22, 23 e 24. Os dentes 12 e 11 apresentavam mobilidade grau 3 apresentando-se também com extracção indicada. A arquitectura gengival da zona desdentada apresentava-se retraída e planificada.


PLANO DE TRATAMENTO:
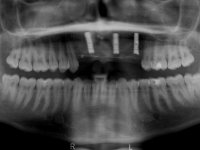
Foi aconselhada a extracção dos dentes 12 e 11 e esperar mais 3 meses para se conseguir uma completa cicatrização da zona. Estabilizada a situação fazer-se –ia um enceramento de diagnóstico que dando origem a uma guia imagiológica permitiria fazer uma TAC. em que o posicionamento idealizado dos dentes pudesse ser relacionado com o património ósseo. O objectivo seria fazer uma ponte cerâmica implanto suportada.


NOTAS DA COLABORAÇÃO ”MÉDICO DENTISTA & TÉCNICO DE PRÓTESE DENTÁRIA”:
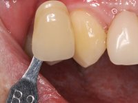
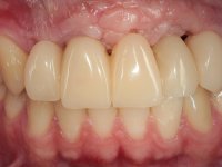
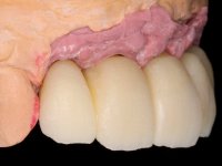
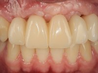
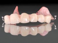
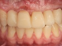
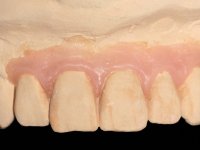
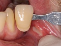
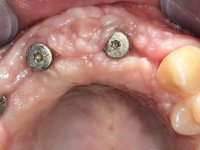
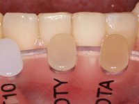
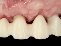
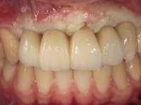
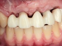
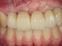
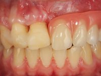
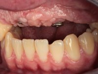
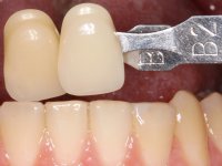
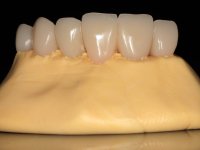
O paciente foi observado conjuntamente e a dúvida que surgiu de imediato foi se seria possível com a regeneração óssea a efectuar poder ser reabilitada naturalmente a zona das papilas interdentárias. Nesse sentido foi feito um enceramento de diagnóstico que contemplaria as duas hipóteses, utilizando ou não a cerâmica gengival. A confecção desse enceramento foi fundamental para expor ao paciente a dificuldade da reabilitação. O wax-up deu origem a um mock-up que foi aprovado pelo paciente e que simultaneamente serviu de guia imagiológica. O caso foi planificado cirurgicamente e realizada uma guia cirúrgica com que foram colocados os implantes. Após 10 semanas foi feita a 1ª impressão para confecção da ponte provisória. Foram criados os primeiros perfis de emergência na gengiva artificial e foi digitalizado o modelo. Por processo de CAD-CAM foi confeccionada uma ponte provisória aparafusada baseada no enceramento de diagnóstico. A ponte trabalhou durante 8 semanas os tecidos moles que foram fielmente copiados numa impressão com técnica de moldeira aberta. Os transferes foram individualizados com resina composta para copiarem fielmente os perfis de emergência criados pela ponte provisória. Confeccionado o modelo de trabalho definitivo, foi realizada uma infra-estrutura em zircónio seguindo a orientação do enceramento de diagnóstico. O assentamento da infra-estrutura foi testado em boca e simultaneamente foi novamente impressionados os tecidos moles com um silicone fluido. Nessa consulta foi feito o levantamento da cor. Os dentes 13 e 23 apresentavam uma saturação anormalmente forte que resolvemos não valorizar, optando por privilegiar a relação com o sector antero-inferior. Foi realizada uma nova gengiva artificial com a impressão que acompanhou a impressão de arrasto com a infra-estrutura. Após a colocação da cerâmica na infra-estrutura foram coladas as meso-estruturas. O trabalho final foi aparafusado lentamente permitindo a adaptação dos tecidos moles.