Caso 13: laboratório

Ver caso clínico >

MOTIVO DA CONSULTA:
O paciente não gostava do aspeto “artificial” dos seus dentes.

DIAGNÓSTICO:
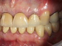
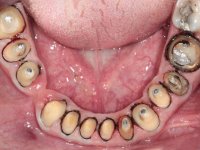
Paciente do sexo masculino, com 42 anos de idade, não fumador. Apresentava uma reabilitação metalo-cerâmica feita há mais de 10 anos com exposições radiculares e infiltrações. No maxilar superior apresentava uma coroa no 1.1,uma ponte de dois elementos no 2.1 e 2.2.e uma ponte de 4 elementos nos dentes 2.4,2.5,2.6 e 2.7 com o 2.6 como pôntico. Os dentes 1.6/1.5/1.4/1.3/1.2/1.1/2.1/2.2/2.3/2.4/2.5 e 2.7 apresentam tratamento endodôntico radical com o 2.4/2.5 e 2.7 a necessitarem de ser refeitos. No maxilar inferior apresentava uma ponte metalo-cerâmica de 4 elementos nos 4 incisivos e uma ponte de 3 elementos (3.3 e 3.4) com um dente supranumerário como pôntico. Os dentes 4.6/4.5 e 4.2 apresentavam tratamento endodôntico com o 4.2 a necessitar de ser refeito. Os dentes 4.3 e 4.4 apresentavam extensas cáries linguais com algum comprometimento mesial. As peças protéticas apresentavam-se infiltradas com exposição radicular associada. Apresentava uma D.V.O. diminuída e uma mordida cruzada lado direito. O paciente tinha uma satisfatória saúde periodontal e uma boa higiene oral.

PLANO DE TRATAMENTO:
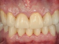
Foi proposto ao paciente fazer uma reabilitação total com infraestruturas em zircónia revestidas a cerâmica. No maxilar superior, seriam realizadas 6 coroas (1.3/1.2/1.1/2.1/2.2/2.3), uma ponte de 3 elementos (1.4/1.5/1.6) e uma ponte de 4 elementos (2.4/2.5/2.6 e 2.7). No maxilar inferior, foram propostas 7 coroas (4.3/4.2/4.1/3.1/3.2/3.5 /3.6) e duas pontes (4.4//4.5/4.6) e (3.3/3.4#/3.4).O objetivo seria subir a D.V.O., descruzar a mordida do lado direito, eliminar as infiltrações e as exposições radiculares e reabilitar o paciente com estruturas protéticas com aspeto mais natural.

NOTAS DA COLABORAÇÃO “MÉDICO DENTISTA & TÉCNICO DE PRÓTESE DENTÁRIA”:
Avaliada a situação inicial em conjunto com o médico dentista, foi considerado prioritário alterar a forma dos dentes, subir 1.5mm a D.V.O. e descruzar a mordida do 1º Quadrante. Na confeção da ponte provisória superior de acrílico com reforço metálico foram já ensaiadas essas alterações. Optamos por um monobloco de 13 dentes com o intuito de manter a estabilidade posicional dos dentes re- preparados. Após remoção das coroas e pontes antigas foi feita a re-preparação dentária. A ponte provisória foi rebasada em boca, primeiro com acrílico auto-polimerizável e depois com resina composta. Após 4 semanas de integração da ponte provisória superior foi confecionada a ponte provisória inferior, corrigindo-se finalmente as discrepâncias existentes no plano oclusal. As impressões foram realizadas com a técnica de dupla mistura, com dupla mistura. Simultaneamente foram feitos os registos da relação inter-maxilar e da relação do maxilar superior com a base do crânio, utilizando o arco facial. Montados os modelos de trabalho em articulador semi-ajustável, foram confecionadas as peças próteticas, utilizando tecnologia CAD-CAM para a realização das infra-estruturas em zircónia. A colocação da cerâmica foi feita procurando que a forma dos dentes reproduzisse uma forma anatómica natural. A tonalidade foi condicionada pela vontade do paciente. Foi feita uma prova com a cerâmica em “biscuit” para verificação técnica e validação estética. Após aprovação pelo paciente o trabalho foi finalizado e colocado em boca.