Caso 31: laboratório

Ver caso clínico >

MOTIVO DA CONSULTA:
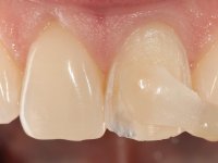
A paciente não gostava da “mancha amarela que tinha no dente da frente”.

DIAGNÓSTICO:
Paciente do sexo feminino com 36 anos de idade, não fumadora. Apresentava o dente 2.1 com tratamento endodôntico, e uma alteração cromática na superfície vestibular. A mancha de tonalidade amarelada parecia resultar de uma alteração do esmalte em profundidade. O dente 1.1 apresentava uma ligeira retração gengiva. Boa higiene e saúde periodontal.

PLANO DE TRATAMENTO:
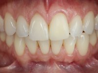
Foi proposto á paciente a realização de uma faceta de cerâmica feldespática no sentido de resolver o problema estético de forma minimamente invasiva. Apesar do dente apresentar tratamento endodôntico, era meu propósito preservar estrutura dentária. Foi no entanto comunicado que se a alteração do esmalte fosse muito profunda, poderíamos ter que realizar uma coroa de revestimento total para poder “mascarar” o problema estético com uma estrutura mais opaca.

NOTAS DA COLABORAÇÃO ”MÉDICO DENTISTA & TÉCNICO DE PRÓTESE DENTÁRIA”:
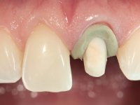
Depois da realização de uma pré-impressão em silicone foi iniciado o preparo dentário. Ao realizar-se o preparo para uma faceta verificou-se que esta estava presente em profundidade. Foram colocados Guias de esmalte de uma Guia personalizada com vaselina por cima da mancha para verificar se era possível eliminá-la com uma faceta. Verificou-se que não. Tomei a decisão de avançar para uma restauração de revestimento total, uma coroa. Imediatamente a seguir ao preparo dentário para a coroa foi feita uma restauração provisória em resina composta pelo mét. de pré impressão. O provisório foi utilizado para comprimir uma pasta de caolino e realizar o afastamento gengival. Foi feita uma impressão utilizando a técnica de dupla mistura. No laboratório foi realizada uma coroa com infraestrutura de Zr revestida a cerâmica. Em boca, por razões estéticas foi necessário corrigir a superfície distal com discos e pontas de borracha adequadas. Aprovado o trabalho pela paciente foi realizada a cimentação definitiva com ionómero de vidro reforçado com resina.