Caso 32: laboratório

Ver caso clínico >

MOTIVO DA CONSULTA:
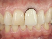
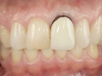
O paciente estava preocupado com uma “coroa antiga que parecia não estar adaptada”. Foi também referida a vontade de “melhorar esteticamente os dentes da frente”.

DIAGNÓSTICO:
Paciente do sexo masculino, com 52 anos de idade e não fumador. Apresenta o dente 2.1 com tratamento endodôntico e uma coroa metalo-cerâmica com mais de 20 anos retida por um poste intra-radicular. A coroa apresenta infiltração cervical e uma exposição radicular com 2mm. O dente 1.1 apresenta uma extensa restauração a resina composta com infiltração. Apresenta uma boa saúde periodontontal e é portador de uma prótese removível inferior.

PLANO DE TRATAMENTO:
Foi aconselhada a confeção de uma coroa com infraestrutura de Zr revestida a cerâmica no dente 2.1 e uma faceta feldespática no dente 1.1.

NOTAS DA COLABORAÇÃO ”MÉDICO DENTISTA & TÉCNICO DE PRÓTESE DENTÁRIA”:
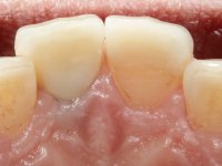
Removida a coroa metalo-cerâmica do dente 2.1, foi realizado o re-preparo do coto dentário, colocando a linha de acabamento cervical intrasulcular. No dente 1.1 foi realizado o preparo para uma faceta de inserção vertical. Colocados os fios de afastamento gengival, foi feita a hibridização da dentina. A impressão foi realizada com a técnica de dupla mistura e a ponte provisória colocada. No laboratório o trabalho foi realizado num modelo Tipo Geller. Uma faceta feldespática no dente 1.1 e uma coroa com infraestrutura em Zr revestida a cerâmica. Após a realização do isolamento absoluto com a colocação do dique de borracha, foi feita a colagem da faceta. Depois da colagem da faceta, foi removido o dique e foi feito um isolamento relativo com Teflon para colagem da coroa.