Caso 33: laboratório

Ver caso clínico >

MOTIVO DA CONSULTA:
A paciente sentia a “ponte sobre o Implante a abanar” e tinha “dor na gengiva”.

DIAGNÓSTICO:
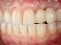
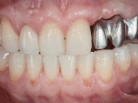
Paciente do sexo feminino, com 60 anos de idade, não fumadora. A paciente surge na consulta com mobilidade numa ponte metalo-cerâmica aparafusada sobre um implante colocado na posição do dente 2.3. Feito o exame imagiológico verificou-se a fratura do implante a um nível justa-ósseo. Os tecidos moles adjacentes apresentavam-se inflamados e hemorrágicos. A paciente apresentava hábitos para-funcionais noturnos e mostrava uma higiene oral satisfatória.

PLANO DE TRATAMENTO:
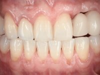
Após avaliação clínica e imagiológica, foi decidido não retirar o implante fraturado, mas submergir o implante. A explantação do implante provocaria uma deformidade difícil de reabilitar. Assim, foi decidido colocar um implante no local do dente 2.2 e posteriormente fazer a reabilitação com uma ponte metalo-cerâmica de 3 elementos. A planificação virtual da colocação do implante, bem como a confeção de uma guia cirúrgica, seriam obrigatórias para o seu correto posicionamento. Uma ponte com cerâmica de tonalidade coronária a gengival seria aparafusada ao implante e cimentada no dente 2.4, com o 2.3 como pôntico. A temporização seria feita com uma ponte provisória de 3 elementos, cimentada ao dente 2.4 e aderida com um apoio metálico ao dente 2.1.

NOTAS DA COLABORAÇÃO “MÉDICO DENTISTA & TÉCNICO DE PRÓTESE DENTÁRIA”:
Feito o diagnóstico foi confecionada em laboratório uma ponte provisória em acrílico com reforço. A ponte de 3 elementos utilizaria o dente 2.4 como pilar, teria os dentes 2.3 e 2.2 como pônticos e seria apoiada por palatino do dente 1.1. Após a remoção da ponte sobre o implante, o dente 2.4 foi preparado e a ponte rebasada em boca com acrílico. Antes da colocação da ponte provisória foi feita uma impressão para a confeção de uma guia imagiológica. Na sessão seguinte, foi realizada uma TAC com a guia imagiológica. A planificação virtual da colocação do implante no local do dente 2.2 deu origem a uma guia cirúrgica. A colocação do implante foi feita com a técnica de cirurgia guiada, complementada com uma regeneração óssea guiada. O implante fraturado, foi cortado com o objetivo de o submergir. Durante 3 meses foi feita a osteointegração do implante bem como a maturação completa dos tecidos duros e moles. Durante este período a paciente utilizou uma ponte provisória fixa. A impressão do implante e do dente preparado foi feita utilizando a técnica de moldeira aberta. O modelo de trabalho foi realizado com gengiva artificial e sobre este foi confecionada uma infraestrutura metálica de 3 elementos a ser cimentada no dente 2.4 e aparafusada sobre o implante colocado no local do dente 2.2. A prova da infraestrutura foi feita, fazendo-se a validação clínica e imagiológica. Nesta consulta foi confirmada a intenção de utilizar cerâmica coronária e gengival. Nesse sentido, foi escolhida a cor utilizando guias de cor individualizadas. Tendo a infraestrutura colocada em boca, realizei novo registo intermaxilar com silicone, para confirmar o anterior registo. Foi colocada cerâmica coronária e gengival recobrindo a infraestrutura e com o trabalho finalizado, antes da sua colocação, foi novamente verificada a sua integração em boca. A fixação em boca foi feita com cimentação sobre o dente 2.4 e aparafusada sobre o implante. Finalmente, foi avaliada rigorosamente a sua integração oclusal.