Case 1: clinical

Go to lab case >

CHIEF COMPLAINT:
To replace a removal partial denture in tooth 21

DIAGNOSIS:
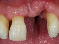
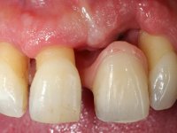
Male patient, 55 years old, smoker. Presented to our dental appointment with a dental implant placed in the area of tooth 21. The gingival architecture in the area lack interdental papilla and showed a vertical deficiency of the soft tissue. Adjacent teeth had significant root exposure.

TREATMENT PLAN:
I’ve decided to rehabilitate the dental implant by closely mimetizing the crown and the root of the adjacent teeth, as well as the gingiva close to the soft tissue deformity. Thus, the prosthetic component would integrate three parts: crown, root and gingiva.

TREATMENT NOTES:
The angulation of the dental implant did not allow for a screwed prosthesis. Thus, an anatomical abutment was used and the crown margin was milled 1mm infragingival, to allow the removal of the cement. The prosthetic component included a ceramic part emulating the crown and the root of the adjacent teeth, and a gingival part to compensate the soft tissue deficiency. Periodontal surgery to regenerate soft tissue in a vertical deficiency is complex and unpredictable, hence this prosthetic option. Although unconventional, this rehabilitation was well accepted by the patient, easy to perform and proved to be aesthetically satisfying and stable over time.

The oral higiene of this dental prosthesis was simple and easy to accomplish.

PUBLICATION: Couto Viana P, Correia A e Kovacs Z. Purpose of aesthetic risk assessment in prosthetic rehabilitations with gingiva-shade ceramics. Int J Esthet Dent (in press in 2014)