Case 2: clinical

Go to lab case >

CHIEF COMPLAINT:
E
xtreme mobility of the deciduous tooth.

DIAGNOSIS:
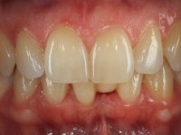
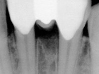
Female patient, 40 years old, non-smoker. Presented agenesis of tooth 31 with the presence of deciduous tooth 71.

TREATMENT PLAN: 
After clinical and radiographic examination, two alternatives for the oral rehabilitation were proposed:

  • orthodontic treatment to open the mesio-distal space to allow the placement of a dental implant and its crown;

  • ‘Maryland bridge’, with a slight slice of adjacent teeth to allow the creation of a pontic with a mesio-distal diameter compatible with adjacent teeth.

Patient chose the second option.

TREATMENT NOTES:
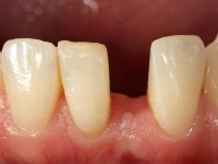
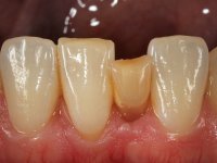
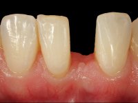
The deciduous tooth was extracted and a provisional resin crown with two small wings was bonded to the lingual surfaces of adjacent teeth. Two months later, the provisional crown was removed and the proximal walls were slightly prepared in order to parallelize the proximal walls and slight augment the mesio-distal space. After this minimal invasive dentistry, a dental impression was done with addition silicones in a one-stage technique. A provisional resin crown with an orthodontic wire on the buccal surface was then bonded to the adjacent teeth with resin, avoiding changing the prepared proximal and lingual surfaces.

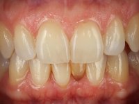
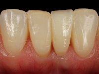
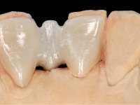
In the dental lab, a Maryland bridge with a zirconia framework veneered with a feldspathic ceramic was built. The wings internal surface also had a very thin coating of a zirconia adhesive to allow its bonding to the abutments enamel. This Maryland bridge tried to join the mechanical strength of the framework, to the bonding of the ceramic to the enamel, and to the aesthetics’ of the zirconia’s veneering with a feldspathic ceramic.

Then, this Maryland bridge was bonded to the abutments.

This rehabilitation proved to be a minimal invasive procedure, affordable and aesthetically acceptable.



PUBLICATION:
Couto Viana P, Jaime Portugal, Zsolt Kovacs, Ivo Lopes, André Correia – Resin-bonded fixed dental prosthesis with a modified treatment surface in a zirconia framework: A case report – (Int J Esthet Dent 2016;11:378-392)