Case 3: clinical

Go to lab case >

CHIEF COMPLAINT: 
To replace a removable partial denture by a full-arch fixed oral rehabilitation.

DIAGNOSIS:
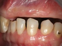
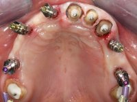
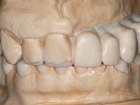
Female patient, 48 years old, non-smoker. Presented to the clinic with the aim to do a fixed rehabilitation. The clinical examination revealed the need to recover the occlusion vertical dimension and the placement of dental implants in the 2nd quadrant.

TREATMENT PLAN: 
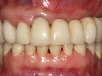
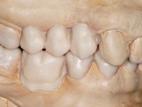
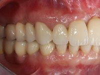
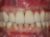
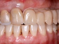
Full-arch fixed prosthetic rehabilitation (upper and lower).

TREATMENT NOTES:
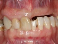
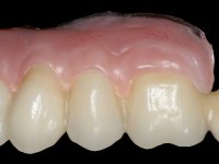
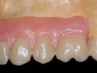
In order to better explain the special needs of this rehabilitation, as well as to plan the treatment correctly, a diagnostic wax-up was made with a dental and a gingival components in the 2nd quadrant. This wax-up was converted in a mock-up allowing the patient to perceive the need for regeneration of bone and soft tissues in the 2nd quadrant, as well as their limitations.

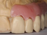
This diagnostic wax-up enable the creation of a transparent acrylic template in which radiopaque composite cylinders were placed on the buccal and palatal tooth surfaces, to serve as a radiological guide. Based in these elements, the implants position and the bone regeneration were planned in specific software. It was concluded that the buccal increase would be possible to accomplish but the creation of interdental papillae would probably be achieved with gum-shade ceramics.

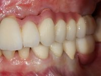
The provisional bridges were done in the dental lab through the diagnostic wax-up and the patient used them throughout 8 weeks. The surgery to place the dental implants and regenerate the bone was done using the radiological template as a surgical guide. After the healing, it was shown to the patient what was accomplished in the buccal surface, but it would be necessary to use gingiva-shade ceramics to recreate interdental papillae.

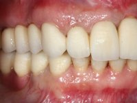
The conventional steps of the oral rehabilitation were performed, with the classical framework and biscuit try-in, that naturally evolved to the final work.

This work shows that careful planning is essential in major oral rehabilitations. The diagnostic wax-up, the foundation of the all treatment, includes dental and soft-tissue components, and it was essential in every treatment step:

  • The mock-up based on the wax-up allowed us to access the final result, as well as making the patient realize the need of regeneration procedures.

  • Based in the wax-up it was also made the radiological template that enabled the virtual planning.

  • The wax-up also contributed to the construction of a surgical guide and provisional bridges.

In this way, every treatment phase were consistent with the initial planning.

DENTAL IMPLANTS SURGERY:
Dr. Manuel Neves, Manuel Neves Dental Clinic


Publication: Couto Viana P, Correia A, Neves M, Kovacs Z and Neugbauer R. Soft tissue waxup and mock-up as key factors in a treatment plan: case presentation. Eur J Esthet Dent 2012; 7(3): 310-23.