Case 4: clinical

Go to lab case >

CHIEF COMPLAINT:
A 28-year old woman lost her left central incisor due to trauma. Concerned about her smile, the patient appeared in our dental office requiring the alignment of the upper anterior teeth in order to achieve a natural appearance. Besides being a smoker, the patient presented no relevant medical concerns.

DIAGNOSIS:
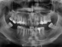
The patient presented a superior dental midline deviation of about 6 mm to the left. Due to the absence of the maxillary left central incisor, the adjacent teeth drifted into this area, limiting the available space for a prosthodontic rehabilitation. There was a significant dental negative disharmony in the maxillary arch as a result of the absence of the left central incisor, absence of the first premolar with a residual space, significant crown reduction of the right second premolar, migration of the posterior teeth into the unoccupied spaces and an upper right and left molar mesialization with a Class II molar relationship. Both left and right canine showed a Class II dental relationship in the maximum intercuspidation position. The patient had a medium lip line smile, a medium thick gingival biotype, presented an adequate oral hygiene without periodontal disease, and no para-functional habits. Radiographic analysis shows a significant inclination of axis of the teeth 11 and 22 with a space available between the apical part of the roots. A cephalometric analysis was made in order to explore the hypothesis of achieving the necessary space to place an implant and a crown in tooth place 21. Finally, the morphology of the residual bone in the anterior region of the maxilla was evaluated with a cone –beam CT scan, revealing a loss of the buccal bone wall dimensions.

TREATMENT PLAN:
Due to the Class II molar and canine relationship the treatment plan contemplates the following multidisciplinary approach:

1) Extraction of the second upper right premolar.

2) Orthodontic treatment to create space between roots and crowns of the teeth 11 and 22.

3) Insertion of an implant in the newly available space in 21, with an associated guided bone regeneration procedure.

4) Restorative prosthodontics procedure over implant in 21 with a zirconium oxide abutment and a press lithium disilicate glass-ceramic crown, in order to achieve the desired esthetic result.

TREATMENT NOTES:
The orthodontic active treatment with straight wire technique (with high anchorage) lasts 14 months, followed by 6 months of contention with an acrylic removable prosthesis with a vestibular arch. The orthodontic treatment included a relatively rigid stabilizing wire and an open coil spring placed between the right central incisor and the left lateral incisor in order to obtain adequate space for the placement of an implant and crown in the left central incisor spot.

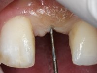
A full thickness mucoperiostal flap was performed, and horizontal and vertical bone loss became visible. A bone level implant was placed in the 21 area. The implant was placed in an optimal three-dimensional position – respecting the safe zone defined by the ITI Consensus with an adequate primary stability. However, this anatomically correct implant placement caused a buccal wall dehiscence. To treat this defect and also to correct the concavity observed in the alveolar bone crest, a simultaneous guided bone regeneration procedure was performed with a mixture of autogenous bone (collected from the osteotomy and harvested from the uppermost part of the buccal wall) and xenogenous bone. A collagen membrane was placed to stabilize the bone graft. The periosteum was released with horizontal incisions on the base of the flap to allow a tension-free repositioning over the submerged implant, and interrupted sutures were used.

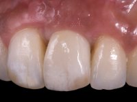
After 12 weeks the restorative procedure was initiated with a first impression to prepare a screw retained lab restoration. A temporary abutment for bone level implant was used to create a proper emergence profile. Two months after the placement, the peri-implant soft-tissue configuration was considered adequate to allow the final impression. In order to satisfy the high esthetic demands of the patient, the fixed rehabilitation was made with zirconium oxide abutment and a press lithium disilicate glass-ceramic restoration.


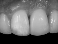
At the end of the treatment, a stable dental occlusion was accomplished. The midlines of both arches were aligned with facial midline and a correct overjet, overbite and bilateral Class I canine relationships were obtained. The rehabilitation of the left maxillary central incisor loss was accomplished with an implant and a ceramic crown placed after the proper alignment of the adjacent incisor teeth, rendering a complete anterior dentition and a nice smile.

ORTHODONTIC PROCEDURES:
Teresa Pinho , DMD, Phd.

DENTAL IMPLANT SURGERY:
Manuel Neves, DMD

DENTAL CERAMIST:
August Bruguera,CDT

PUBLICATION: Pedro Couto Viana, August Bruguera, Teresa Pinho e Manuel Neves. Management of a left central incisor loss: a multidisciplinar approach. STARGET 3. 2010.