Case 8: clinical

Go to lab case >

CHIEF COMPLAINT:
Rehabilitation of the anterior maxilla following traumatic injury in a car accident.


DIAGNOSIS:
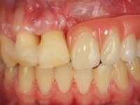
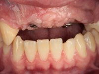
Male patient, 22 years old, non-smoker, appear in our dental office 6 months after a car accident where he lost teeth 21, 22, 23 and 24. Teeth 12 and 11 present mobility grade III, thus with a prognosis of extraction. The gengiva architecture of the edentulous area presents a recession and a flat surface.


TREATMENT PLAN:
Extraction of teeth 12 and 11 and wait three months to achieve a complete healing of the area.
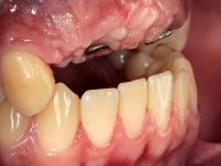
Diagnostic wax-up to allow the development of an ‘radiological template’ to proceed with a CT scan, in order to do an implant planning guided by the planned prosthesis.
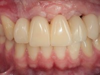
The aim would be to make an implant-supported ceramic bridge.


TREATMENT NOTES:
The diagnostic wax-up enclose the possibility to include, or not, gum-shade ceramics to rehabilitate the interdental papillae. This two possibilities were presented to the patient due to the bone regeneration unpredictability (in our opinion), mainly vertically.
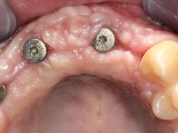
The wax-up allowed us to do a mock-up that worked also as a radiological template. The CT-scan was imported to an implant planning software where three dental implants were simulated, and a surgical guide developed.
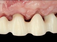
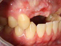
10 weeks after the surgery, a first impression was done to do a CAD-CAM provisional bridge (based on the diagnostic wax-up), that worked the soft tissue architecture during two months. This architecture was copied in a second impression by individualizing the impression copings in their emerging profile.
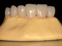
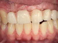
The working model was scanned and the dental technician developed a zirconia framework based on the diagnostic wax-up. This framework try-in was done, the perfect fit was assessed, and a final impression was done with a light silicone.
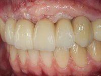
The bridge was finally placed with a progressive screwing to allow the tissue to accommodate the pressure of the pontics and the abutments emergency profiles.