Case 7: clinical

Go to lab case >

CHIEF COMPLAINT:
Mobility of teeth 41 and 31.


DIAGNOSIS:
Female patient, 56 years-old, smoker. Teeth 41 and 31 with mobility grade III. Teeth 42 and 32 vital, with no mobility. After clinical and radiographic examination the extraction of central incisors was indicated.


TREATMENT PLAN:
Being an esthetic area it was decided to do an immediate splint of the crowns 41 and 31 to the adjacent teeth with a metalic mesh bonded in the lingual surface.
After this intervention the following treatment plan was proposed:

   • Extraction of teeth 41 and 31 keeping the crowns of the same teeth as a provisional situation.
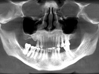
   • After two months, a CBCT scan to plan one dental implant and the type of bone regeneration to be performed. Due to the lack of mesiodistal space, the option for two dental implants was dropped.
   • Two months after implant placement and guided-bone regeneration, initiate the construction of a metal-ceramic fixed partial denture with two elements screwed on the dental implant.


TREATMENT NOTES:
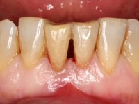
Splinting of teeth 41 and 31 to the adjacente teeth with a metallic mesh allowed us to temporarily resolve the esthetic situation and simultaneously avoid the use of a removable prosthesis, during the healing of the sockets and also during the osteo-integration phase of the dental implant.

After the CBCT evaluation, our option was to place the dental implant in the central position of the edentulous area for 4 mains reasons:

   • Preservation of the bone in the mesial surfaces of the adjacent teeth.

   • The thickness (buccal-lingual) was higher in the area.
   • Biomechanical, the position was more favourable.
   • The esthetic rehabilitation with gum-shade ceramics was easier with the implant placed in this position.

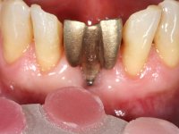
With the implant osteo-integrated with did an impression (open-tray technique) and the dental technician started the construction of a gold framework. The use of an abutment made of a gold alloy allowed us to do a framework with a perfect fit.

During the framework try-in, the color survey was done in order to proceed with the ceramics placement, with a crown and gingiva-components.