Case 5: clinical

Go to lab case >

CHIEF COMPLAINT:
To replace a removable denture by an implant-supported overdenture.

DIAGNOSIS:
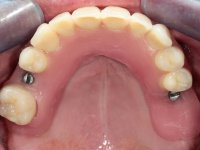
Male patient, 80 years old, non-smoker, presented to our clinic with four dental implants placed in each maxilla. From a prosthodontics point of view, the implants seem to be well placed. Due to the presence of this implants, and to achieve a better retention and stability, the removable dentures had a soft-tissue conditioner relining. Without the dentures, the patient presents a significant lack of support in the upper and lower lips.

TREATMENT PLAN:
To fabricate overdentures supported and retained by milled bars screwed over the dental implants.

TREATMENT NOTES:
After the implant impressions with silicones, the working model was built with artificial gingiva. Then, the dental technician fabricates the record bases with the wax rims with the particularity of being screwed on the implants to achieve a proper stability. The correct vertical dimension and the lip support were determined with record bases screwed over the implants. To validate these records we have also used the “Individualized Geometric Analysis of Facial Harmony (AGIHF)” by Professor Carlos Silva.

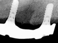
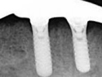
Then, the teeth were mounted in the screwed record bases and function and aesthetics were clinically evaluated. After these evaluations, the dental technician develops silicone walls that guide the fabrication of the milled bars. The precise passive fit of the bars was checked clinically and with radiographs. Then, a pick-up impression with an individualized tray was done to achieve a functional impression of the soft-tissues.

In every clinical step, the healing abutments were polished in order to maintain healthy peri-implant tissues.

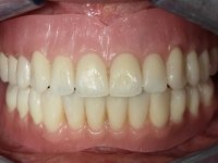
The overdentures with a metallic framework were fabricated over the bars, according to the silicone walls previously made. Before finishing the dentures, a new functional and aesthetic evaluation of the teeth was done, together with a new jet-bite registration to allow small occlusal adjustments.

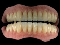
The bars were finally screwed over the implants with the adequate torque and the overdentures set-in-place. Maintenance instructions were given to the patient regarding oral hygiene and overdentures insertion / removal.