Case 6: clinical

Go to lab case >

CHIEF COMPLAINT:
Patient was not satisfied with aesthetics…

DIAGNOSIS:
Female patient, 52 years old, non-smoker.
Initial status:
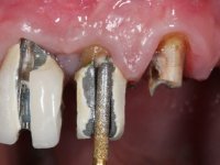
    •    Metal-ceramic fixed partial denture (FPD) (11-15) supported by three dental implants in 11, 13 and 15.
    •    Metal-ceramic FPD over teeth 21-22-23-25.
    •    Small exposure of the implant neck in 11 position.
    •    Significant root exposure on teeth 21 and 22.
    •    In the lower jaw, patient had edentulous spaces in 46 and 36, and tooth 47 is tilted mesially.

TREATMENT PLAN:
Maxilla: periodontal plastic surgery to increase gingiva thickness and reduces root exposures. Ceramic FPD in the 1st and 2nd quadrants.
Mandible: dental implant in tooth 36 with a screw-retained crown and a FPD in teeth 47-45-44 (overlays in teeth 47, 45 and 44, allowing the closure of the edentulous space of tooth 46).

TREATMENT NOTES:
I have decided to replace the old fixed partial dentures to improve aesthetics and simultaneously eliminate root exposures. In order to do so, periodontal plastic surgery – tunneling procedure - was a priority, to increase the thickness of the soft-tissue and to do a coronal repositioning to reduce the root exposures.
Ten weeks after the surgery the screw-retained implant bridge was removed, and an impression was done with an open-tray procedure. The inter-maxilary relations were recorded and the models were mounted in a semi-adjustable articulator. This point was considered the “initial situation” of the prosthodontic rehabilitation.
With this situation, the dental technician did the diagnostic wax-up taking into consideration the following objectives:
    •    To re-establish symmetry in the anterior sector, specially in the cervical area.
    •    To optimize dental anatomy.
    •    To test the closure of the edentulous space in tooth 46

Through this diagnostic wax-up, two provisional FPD were done to the 1st and 2nd quadrants and a transparent silicone index to allow the provisional direct restoration in the 4th quadrant.
The provisional FPD were placed in the maxilla and were used to remodel soft-tissue architecture and test the aesthetic concept achieved with the diagnostic wax-up.
During the healing phase of the soft tissues, conditioned by the provisional fixed partial dentures, edentulous space in tooth 36 was rehabilitated with an implant-supported screw-retained crown.
Then, a double-mixture technique was used in the impression of the 1st, 2nd and 3rd quadrants. Gingival retraction was done with only one cord.
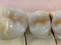
After it, the dental technician constructed the ceramic overlays to rehabilitate 47-44, that were bonded while testing the CAD-CAM zirconia frameworks in the maxilla. In this session, the provisional FPDs in the 1st and 2nd quadrant were removed separately to allow a bite-registration with the inter-maxillary relations that the patient supported with the provisional restorations, and colour was evaluated and registered.
In the bisque-bake try-in session, the dental technician was present in the dental office to observe and register in the bisque-bake try-in itself the modifications that had to be done, mainly concerning anatomical design.
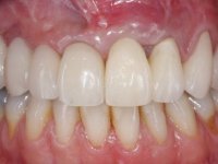
In the end of the last appointment, the treatment was considered fully integrated, concerning function and aesthetics, and the patient was satisfied.

PERIODONTAL PLASTIC SURGERY: 
Dr. Manuel Neves, Clínica Dr. Manuel Neves.